
Get Results
Discover the benefits of Myobrace
Proven Results
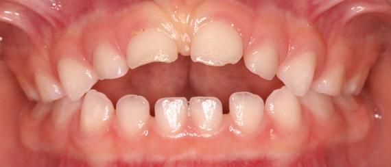
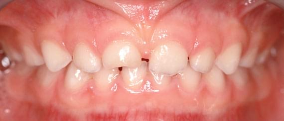
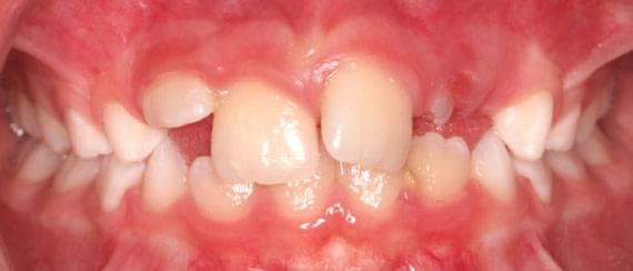
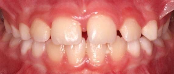
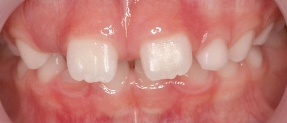
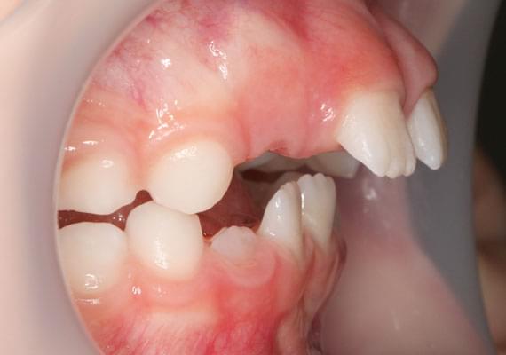
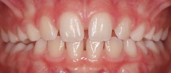
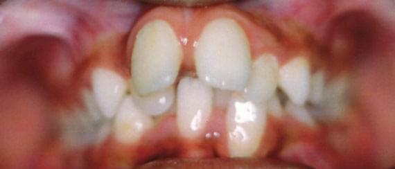
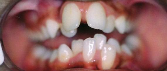
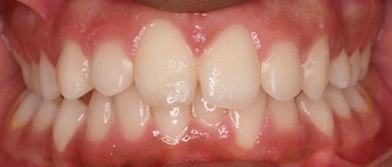
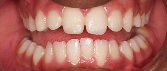
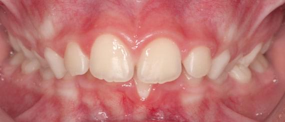
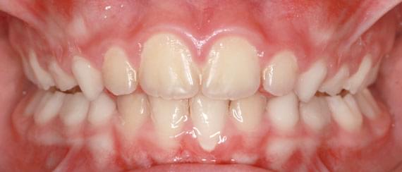
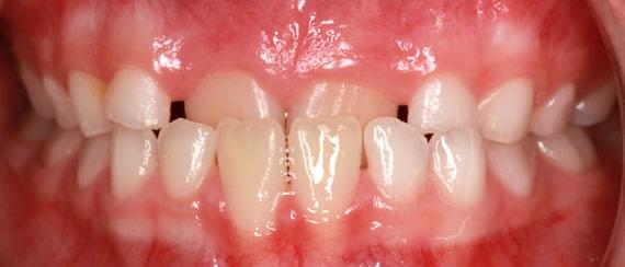
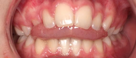
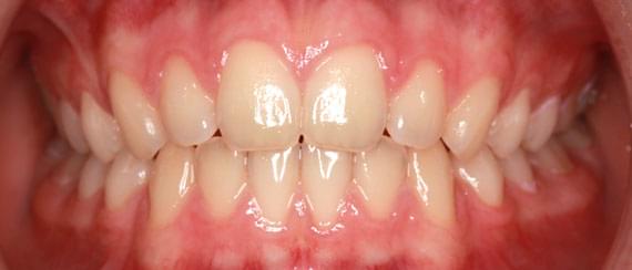
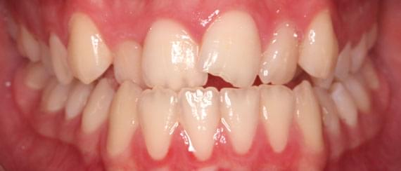
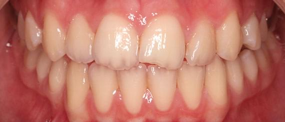
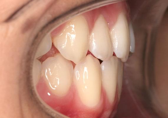
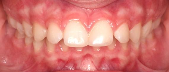
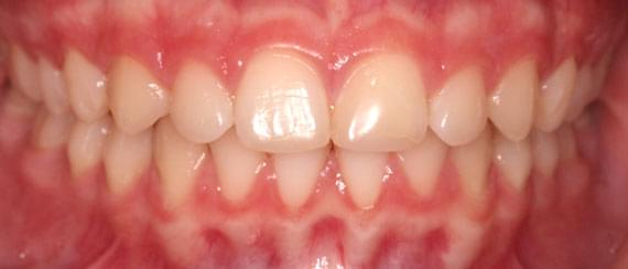
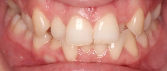
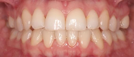
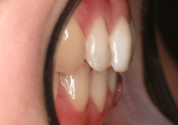
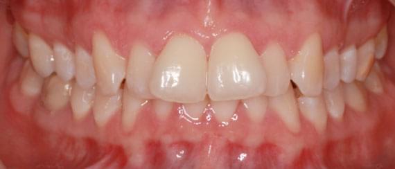
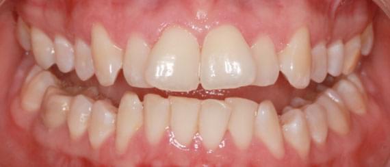
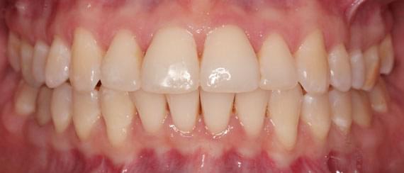
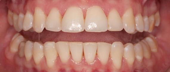
Children and parents spanning more than 100 countries have discovered the benefits of myofunctional orthodontics using The Myobrace® System. Significant research over the past three decades has proven that Myobrace®, by Myofunctional Research Co. (MRC), offers an effective solution to treating the causes of poor jaw development and crooked teeth. The following cases are examples of patients who have undergone Myobrace® treatment.
These cases are for educational purposes only. Individual results vary and parents/patients should consult their practitioner for expected results.
Ages 3-6 yrs
Ages 7-10 yrs
Ages 11-15 yrs
Adult 15+ yrs
View Next:
Modern research has proven that most orthodontic problems are the result of poor myofunctional habits.
Booking in for a consultation with a Myobrace® practitioner is the first step in getting started and understanding the treatment process.
Use our Free Evaluation tool to identify any possible myofunctional problems affecting the growth and development of your child.
Your Next Step
For questions regarding treatment options please use the 'Find My Practitioner' feature. If you have a more specific question regarding Myobrace® appliances and/or educational media please contact your nearest regional office:
Find My Nearest Practitioner








































